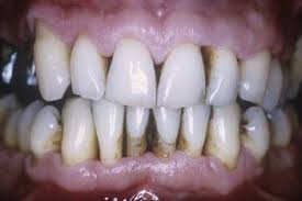
Gingivitis Gum Disease : Gingivitis Periodontitis Gum Disease Treatment North East Dental Arts : Thankfully if caught and dealt with early enough, the condition can be treated and reversed.

Gingivitis Gum Disease : Gingivitis Periodontitis Gum Disease Treatment North East Dental Arts : Thankfully if caught and dealt with early enough, the condition can be treated and reversed.. It is characterized by red, swollen gums that bleed easily when teeth are brushed or flossed. Gingivitis is the earliest and mildest form of the gum diseases, and it is characterized by redness and swelling of the gums. Left unattended, gingivitis can advance to periodontitis. Gingivitis is a mild type of gum disease. That is not to say that gum disease isn't a serious issue.

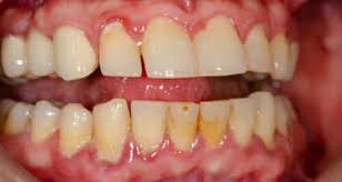
Left untreated, gingivitis can turn into periodontal disease (see signs of gum disease). If the germs stay on your teeth for too long, layers of plaque (film) and tartar (hardened plaque) develop. Periodontal disease, commonly referred to as gum disease, is the most common disease in dogs. Plaque can cause gingivitis, the mildest form of gum disease. Gingivitis is irritation and inflammation of the part of your gum tissue around the base of your teeth (gingiva).

Gingivitis Periodontitis Symptoms Treatment Of Gum Disease Live Science
Gingivitis Periodontitis Symptoms Treatment Of Gum Disease Live Science from cdn.mos.cms.futurecdn.net
3 diabetes, tobacco use, a weakened immune system, and poor oral hygiene all. Salt is a natural disinfectant that helps your body to heal itself. Gingivitis is an early stage of gum disease caused by plaque buildup on teeth. Gingivitis is the earliest form of gum disease and is caused by the buildup of plaque on teeth. It's important to take gingivitis seriously and treat it promptly. The mild variety is called gingivitis. Periodontal (gum) disease is an infection of the tissues that hold your teeth in place. It is characterized by red and irritated gums.

Gingivitis starts with mild swelling but can get worse over time, causing lesions, mouth pain, tooth loss and other signs of advanced gum disease.

It commonly occurs because a film of plaque, or bacteria, accumulates on the teeth. It is characterized by red and irritated gums. If the germs stay on your teeth for too long, layers of plaque (film) and tartar (hardened plaque) develop. Periodontal disease, commonly referred to as gum disease, is the most common disease in dogs. Periodontal pockets — plaque begins to form below the gum line, gums recede and pockets form. Showed that using a salt water rinse can be very beneficial in healing gums inflamed by gingivitis. The progression of periodontal disease is: Home remedy for gingivitis treatment. This is referred to as gingivitis. Symptoms of gingivitis include irritated or red gums that may bleed when brushing or flossing. Improper oral health care gingivitis is very common in children and adults and occurs when plaque is allowed to accumulate on the teeth. By increasing your vitamin c intake, you can boost your immune system so it can fight the disease causing bacteria and help regenerate your gums. Gingivitis starts with mild swelling but can get worse over time, causing lesions, mouth pain, tooth loss and other signs of advanced gum disease.

The gums become loose around the root of the tooth, creating a gum pocket that gradually deepens. And, gradually, it progresses into periodontitis, a more severe form of gum disease. Gingivitis is not the same thing as periodontitis. If the germs stay on your teeth for too long, layers of plaque (film) and tartar (hardened plaque) develop. Gingivitis starts with mild swelling but can get worse over time, causing lesions, mouth pain, tooth loss and other signs of advanced gum disease.

Gum Disease Symptoms Bleeding Gums Gum Abcesses Persistent Bad Breath National Dental Centre Singapore
Gum Disease Symptoms Bleeding Gums Gum Abcesses Persistent Bad Breath National Dental Centre Singapore from www.singhealth.com.sg
Discover the causes of gingivitis and how you can help defend against early gum disease. The mild variety is called gingivitis. Left untreated, gingivitis can turn into periodontal disease (see signs of gum disease). Gingivitis — gums are red, swollen, and bleed easily. That is not to say that gum disease isn't a serious issue. Gingivitis is a very common condition and varies widely in severity. This guide will explain the different stages of periodontal disease in dogs and how to recognize, treat, and prevent it. It's important to take gingivitis seriously and treat it promptly.

Eventually, the infection and inflammation can cause the tooth to loosen and possibly fall out.

Research suggests that gum disease occurs when tartar builds up below your gum line, which you'll likely need to get cleaned by a dental hygienist. Gingivitis is the earliest form of gum disease and is caused by the buildup of plaque on teeth. Home remedy for gingivitis treatment. Gingivitis is the mildest form of gum disease. Daily brushing and flossing is the real path to healthy teeth and gums. In this, only your gums are tainted. Left unattended, gingivitis can advance to periodontitis. Symptoms of gingivitis include irritated or red gums that may bleed when brushing or flossing. Gingivitis starts with mild swelling but can get worse over time, causing lesions, mouth pain, tooth loss and other signs of advanced gum disease. The gums become loose around the root of the tooth, creating a gum pocket that gradually deepens. It commonly occurs because a film of plaque, or bacteria, accumulates on the teeth. However, if it is left untreated, then the infection can spread below the gum line and into the bone. Salt is a natural disinfectant that helps your body to heal itself.

If left untreated, it can become a more serious infection known as periodontitis. Make proper brushing and flossing a priority to keep gum disease away for life. Gingivitis starts with mild swelling but can get worse over time, causing lesions, mouth pain, tooth loss and other signs of advanced gum disease. If the germs stay on your teeth for too long, layers of plaque (film) and tartar (hardened plaque) develop. Improper oral health care gingivitis is very common in children and adults and occurs when plaque is allowed to accumulate on the teeth.

What Is Periodontitis Periodontal Disease Parodontax
What Is Periodontitis Periodontal Disease Parodontax from i-cf65ch.gskstatic.com
Daily brushing and flossing is the real path to healthy teeth and gums. It commonly occurs because a film of plaque, or bacteria, accumulates on the teeth. When you have that, only your gums are infected. Research suggests that gum disease occurs when tartar builds up below your gum line, which you'll likely need to get cleaned by a dental hygienist. Left untreated, gingivitis can turn into periodontal disease (see signs of gum disease). Gum disease is a gum infection that destroys your soft tissue, which is typically preventable. The gums may then become swollen, sore, or infected; Periodontal disease, commonly referred to as gum disease, is the most common disease in dogs.

It's typically caused by poor brushing and flossing habits that allow plaque—a sticky film of bacteria—to build up on the teeth and harden.

Gum disease is a gum infection that destroys your soft tissue, which is typically preventable. 1 gum disease is a leading cause of tooth loss. Gingivitis is a clear warning sign from our teeth and gums that we must be more proactive. Periodontal pockets — plaque begins to form below the gum line, gums recede and pockets form. Gingivitis is the earliest and mildest form of the gum diseases, and it is characterized by redness and swelling of the gums. Research suggests that gum disease occurs when tartar builds up below your gum line, which you'll likely need to get cleaned by a dental hygienist. Showed that using a salt water rinse can be very beneficial in healing gums inflamed by gingivitis. Make proper brushing and flossing a priority to keep gum disease away for life. It is characterized by red, swollen gums that bleed easily when teeth are brushed or flossed. Left untreated, gingivitis can turn into periodontal disease (see signs of gum disease). Gingivitis is irritation and inflammation of the part of your gum tissue around the base of your teeth (gingiva). The progression of periodontal disease is: Eventually, the infection and inflammation can cause the tooth to loosen and possibly fall out.

If left untreated, it can become a more serious infection known as periodontitis gingivitis. Understanding gingivitis is the first step in protecting yourself from gum disease.

Komentar